Orthodontic
- Home
- Orthodontic
“Straighten your teeth, transform
your smile, boost your confidence!”
your smile, boost your confidence!”
Orthodontic
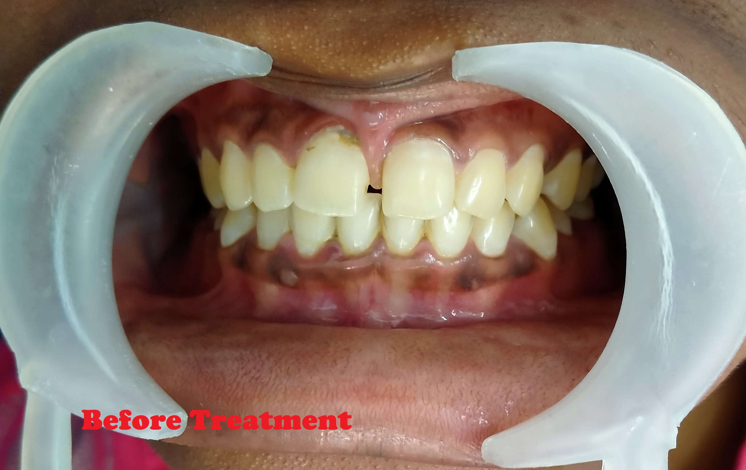
Enhancing Your Smile with Art and Precision
- Corrects crooked, crowded, or misaligned teeth with braces or aligners.
- Services include fluoride treatment, sealants, and cavity care.
- Encourages good oral habits and healthy teeth from an early age.



